近日,资环学院赵方杰教授团队在《Environmental Microbiology》杂志上在线发表了题为“Methylarsenite is abroad-spectrum antibiotic disrupting cell wallbiosynthesis and cell membrane potential”的研究论文,揭示了甲基三价砷[MAs(III)]作为一种广谱抗生素的抗菌特性与杀菌机制。
MAs(III)是一种剧毒的含砷化合物,它的毒性远高于常见的无机砷化合物。环境中不同形态砷可以相互转化,MAs(III)是微生物砷甲基化过程的一种中间产物,容易被O2氧化为毒性较低的甲基五价砷[MAs(V)],后者曾被广泛用作草坪除草剂和棉花落叶剂。环境中的一些微生物可将MAs(V)还原转化为毒性极强的MAs(III),MAs(III)被认为是一种原始的抗生素,但其抗菌特性及杀菌机制仍不清楚。
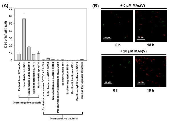
该研究通过测定MAs(III)对14株不同种属细菌的抑菌效率(图1A),发现MAs(III)对所有供试菌株生长均有抑制作用,对革兰氏阳性菌的抑制作用强于革兰氏阴性菌,MAs(III)对金黄色葡萄球菌、微杆菌、甘蔗假杆菌和5株芽孢杆菌等革兰氏阳性菌的半抑制浓度(IC50)均低于1 µM,对枯草芽孢杆菌168的IC50与万古霉素相似,该结果表明环境中MAs(III)可能优先作用于对其敏感的革兰氏阳性菌。

图1 (A)MAs(III)对14株不同种属细菌生长的半抑制浓度;(B)激光共聚焦照片显示添加和不添加20 µM MAs(V)对肠杆菌CZ-1(红色荧光标记)和枯草芽孢杆菌168(绿色荧光标记)共培养生长状态的影响。
采用共培养实验表明,肠杆菌CZ-1(红色荧光标记)可将MAs(V)还原为MAs(III),杀死共培养体系中对MAs(III)敏感的枯草芽孢杆菌168(绿色荧光标记),菌株CZ-1在共培养体系中获得生长竞争上的优势(图1B),证明了MAs(III)的抗生素作用。
进一步研究表明,MAs(III)可以诱导枯草芽孢杆菌168发生细胞自溶现象(图2A)。通过基因敲除实验表明,枯草芽孢杆菌168体内的Lyt自溶酶类包括LytC、LytD、LytE和LytF均参与了MAs(III)诱导的细胞自溶过程,其中LytC是细胞自溶活性的最大贡献者(图2B)。

图2 (A)MAs(III)处理诱导枯草芽孢杆菌168发生自溶;(B)枯草芽孢杆菌168体内的Lyt自溶酶参与了MAs(III) 诱导的细胞自溶过程。
该研究进一步利用转录组学技术、荧光定量PCR、基因异源表达、细胞形态观测以及荧光探针检测等手段,揭示MAs(III)对枯草芽孢杆菌168的致毒机理,研究发现:(1)MAs(III)处理可以显著下调与细胞壁肽聚糖合成相关的多数基因的表达水平(图3A);(2)在菌体内过表达催化细胞壁肽聚糖合成第一步反应的UDP-N-乙酰氨基葡萄糖烯醇丙酮酰转移酶MurAA可以缓减MAs(III)诱发的自溶(图3B);(3)MAs(III)的胁迫会引发严重的细胞损伤(图3C),导致细胞膜通透性增强(图3D),同时紊乱菌株的细胞膜电势(图3E)。

图3 (A)枯草芽孢杆菌168体内参与细胞壁肽聚糖合成相关基因的转录表达分析;(B)过表达murAA和murAB基因对MAs(III)诱导的细胞自溶的影响;(C)透射电镜照片显示MAs(III)处理对细胞形态的影响;(D)3 µM MAs(III)和1 mM磷霉素对细胞膜通透性的影响;(E)3 µM MAs(III)和1 mM磷霉素对细胞膜电势的影响。
综上所述,该研究发现MAs(III)作为一种广谱的抗生素优先作用于革兰氏阳性菌,它的杀菌作用机制主要在于紊乱细菌细胞壁肽聚糖的合成以及破坏细胞膜的电势。
资环学院黄科副研究员和博士研究生刘玮为文章的共同第一作者,赵方杰教授为通讯作者。该研究得到了国家自然科学基金资助。
近期,赵方杰团队针对抗生素MAs(III)的形成和解毒机制研究取得了一系列进展,发现内源性还原型谷胱甘肽(GSH)参与了肠杆菌CZ-1介导MAs(V)还原为MAs(III)的过程(Huang et al. 2022. Applied and Environmental Microbiology); 报道了两个参与MAs(III)解毒的新型MAs(III)氧化酶(Zhang et al. 2022a, 2022b, Environmental Microbiology); 从高盐固氮螺菌Azospirillum halopraeferensAu4中鉴定了一个新型的转录抑制子PadRars,MAs(III) 可与该转录抑制子结合,从而解除PadRars对MAs(III)抗性基因簇的转录抑制,解释了MAs(III)诱导抗性基因表达的机制(Zhang et al. 2022c, Environmental Microbiology)。

